Hablar sobre The Hulk, puede ser tan simple como hablar de un cambio de humor ...SEVERO, pues ya conocemos la historia de este personaje. Bruce Banner tiene la habilidad de convertirse en un ser verde muy grande con super fuerza, super recuperación y de paso con un grado de malhumor totalmente por las nubes. Lo único que tiene que hacer es estar estresado o molesto y boom ...tenemos al nuevo Bruce.
Pues ¿ por qué lo estamos asociando al bruxismo? Es posible que hayan escuchado al bruxismo con otro nombre...como el de rechinar los dientes o apretar o desgastarlos. Pues ¿realmente que es?
El bruxismo es cuando desgastamos los dientes , muchas veces de manera inconsciente, y perdemos estructura dental, haciendo que los dientes se hagan mas chiquitos o inclusive en casos severos sufran de enfermedades tales como dolor dental etc. Inclusive podemos sentir dolor en el rostro y cuello producto de la sobrestimulación de estos músculos al apretar los dientes.
Estas fuerzas que hacen que desgastemos tanto los dientes, muchas veces vienen del estrés, cuando estamos en situaciones dificiles de controlar, o en algunos casos por habitos que tenemos. En la actualidad, aun se siguen estudiando los factores del por cual sucede todo esto. Pero el factor clave siempre sera el manejo del estrés.
Asi que podemos decir que gracias a portarnos como The Hulk, es que lamentablemente desgastamos nuestra dentadura.
Pero hay formas de combatir todo este problema.
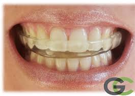
Una de las formas más usadas es evitar el roce de nuestros dientes al dormir, obviamente como lo hacemos de manera inconsciente , no hay forma de detenerlo. Sin embargo , hay aparatos que podemos usar al dormir que evitara que nuestros dientes contacten y mas bien el aparato sea el que se desgaste.
Este aparato es conocido como férula de descarga o férula de relajamiento. Esta la realiza el odontologo después de haber realizado todo un análisis de nuestra dentadura, el estado del bruxismo y en muchos casos el uso de esta férula esta indicado.
Vale la pena decir que es necesario llegar a conocer el porque del estrés que puede estar causando el desgaste de nuestros dientes, es por eso que muchas veces se hace una interconsulta al psicólogo o psiquiatra para manejar correctamente las situaciones estresantes.
Asi como Bruce Banner aprende a controlar los ataques de The Hulk, nosotros podemos llegar a controlar esas situaciones y no volvernos contra nosotros mismos.




